Suivre l'activité de la maladie.
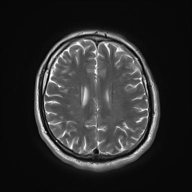
Petit rappel: L’IRM permet de
visualiser et localiser précisément les plaques
aussi bien dans le cerveau que dans la moelle épinière. Selon
les séquences utilisées, elles apparaissent blanches (en terme technique,on parle “d’hyper signaux”) ou
noires (“hypo signaux”).
Ses objectifs principaux sont de
suivre l'évolution de la maladie,
de rechercher d'éventuelles
complications, de surveiller et d'adapter le traitement.
Ma SEP classée sous la
progressive-primaire (SEP-PP)
à évolution lente, sans période de
rémissions
donne des images quasi superposables à l'IRM précédent
Mes scanners IRM (imagerie par résonance magnétique)
(images au hasard : ne connaissant
pas l'interprétation)
2005
2006
2009
2010
2011
2013
_________________________________________________________________________________
Août 2015




